Start typing & press "Enter" or "ESC" to close
Home
Closer Look
Treatments
Cosmetic Dentistry
Restorative Dentistry
Teeth Whitening
Smile Makeovers
Veneers
Crowns
Bridges & Implants
Orthodontics
Gallery
Google Reviews
Contact Us
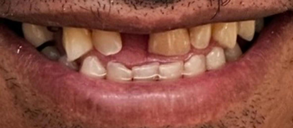
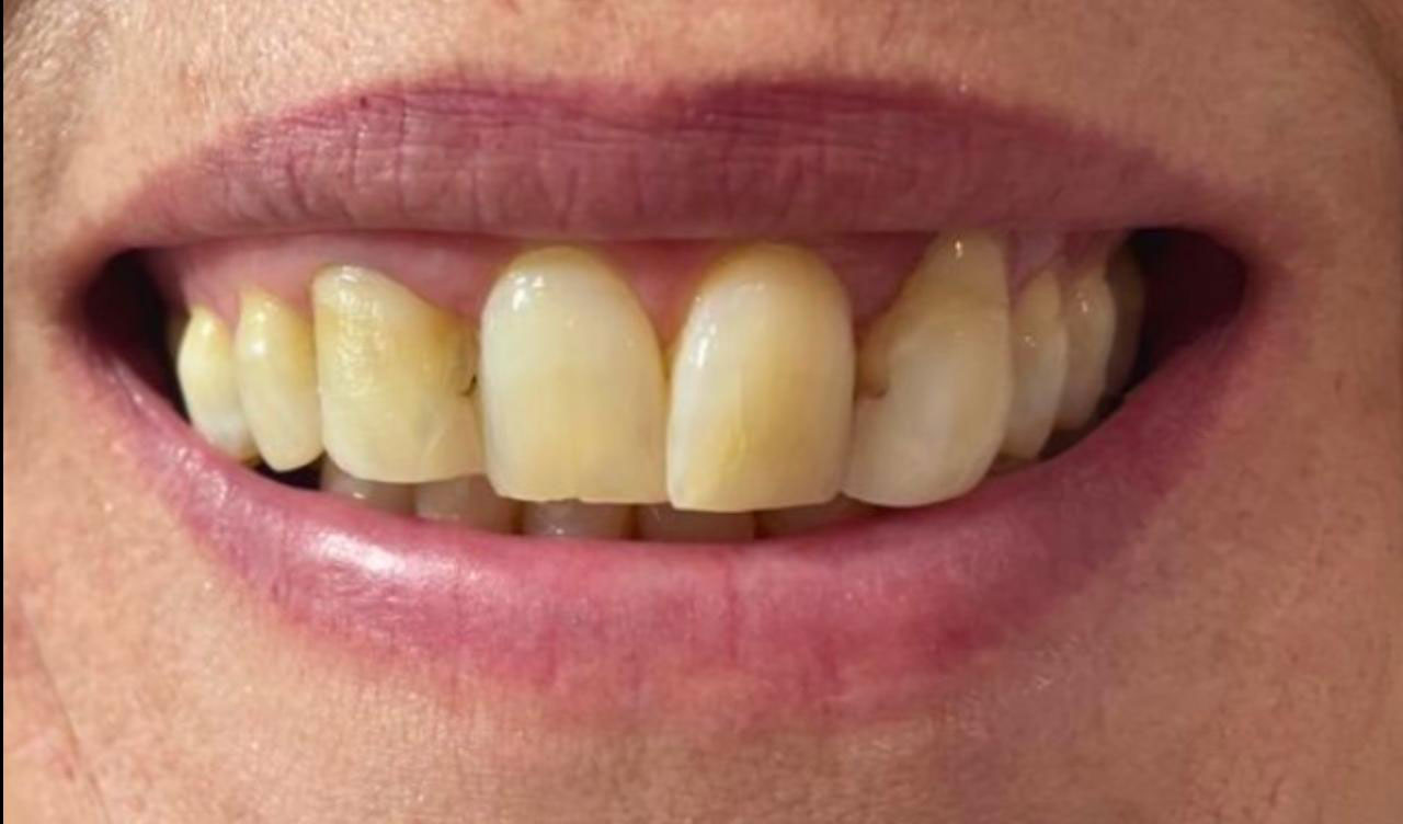
Gallery
Our happy, smiling clients...